UNLOCK YOUR TRUE POTENTIAL

Apply now

Indirect Posterior Dentistry using Lithium Disilicate: Strategies for Optimal Planning

By Dr Andrew See. Aesthetic Dentist and Educator, Founder of Dental Mastery Academy.

BDS Hons (Syd), FRACDS, MSc(Lond), PGDipDentImplantology, FCGDENT(UK), FICOI, MFDS RCSEng

In the evolving landscape of aesthetic dentistry, the shift towards minimally invasive techniques and the utilisation of advanced materials like lithium disilicate has revolutionised the way we approach restorative treatments. Indirect posterior dentistry, in particular, offers significant potential for achieving outstanding aesthetic and functional outcomes while preserving tooth structure. As we continue to integrate high strength glass ceramic materials like lithium disilicate into our posterior quadrant dentistry and full mouth rehabilitations, it’s crucial to understand the high-level strategies for planning these cases—ensuring both longevity and a natural appearance for our patients.

Scroll down to read the article featured in Australasian Dentist Magazine, April 2025 Edition.

The Changing Paradigm: From Luted to Bonded Ceramics

Historically, the use of ceramics in restorative dentistry primarily involved luted materials that required traditional cementation techniques. These materials often demanded greater tooth reduction and more invasive procedures to accommodate the restoration. Studies show that up to 9% of patients that receive full coverage crowns develop pulpal disease (Yavorek et al 2020, Ptak et al 2023). However, the introduction of high strength glass ceramics, such as, lithium disilicate has fundamentally shifted this paradigm. Unlike its predecessors, lithium disilicate is chemically bonded to the tooth structure, reducing the need for aggressive preparation while increasing the strength and durability of the restoration.

The benefits of bonded ceramics over luted ceramics are profound. Bonding offers superior retention, significantly reducing the likelihood of restoration dislodgement and enhancing the mechanical strength of the final restoration. In situations where there is any concern about cuspal integrity, cuspal coverage with lithium disilicate via this chemical bond also helps distribute occlusal forces more evenly across the tooth, contributing to better long-term stability and reduced risk of tooth fracture. This advancement allows for a more conservative approach, preserving as much natural tooth structure as possible, while still achieving the strength and aesthetic results that modern patients demand.

Aesthetic and Functional Strategies for Indirect Quadrant Dentistry

When planning an indirect restoration in a quadrant, it’s critical to understand the various options available and choose the most appropriate approach based on both aesthetic goals and occlusal considerations. Lithium disilicate provides a versatile solution for a range of indirect restorations, but choosing between a traditional inlay, onlay, tabletop, crownlays, veneerlays, and full coverage crowns can significantly impact the overall outcome. Below, we discuss the differences and benefits of each approach.

Tabletops (Overlay):

A tabletop restoration involves the placement of a thin ceramic layer that covers all the occlusal surface of a posterior tooth. This minimally invasive option is particularly effective in cases where the tooth’s underlying structure is largely intact, but there are aesthetic or functional concerns with the occlusal surface.

Benefits:

  • Minimal Tooth Reduction: Tabletops require very little removal of healthy tooth structure, which is ideal for preserving tooth vitality.
  • Aesthetic Enhancement: Lithium disilicate’s superior translucency makes it an excellent choice for improving the aesthetic appearance of the tooth without compromising strength.
  • Conservative Approach: Almost always avoids the need for a full coverage crown.

Ideal Cases:
Tabletops are most suitable for cases with intact marginal ridges but have functional damage from a crack. This is also suitable for cases with occlusal erosion.

Tabletop Indirect Posterior Dentistry Dr Andrew See
Tabletop Indirect Posterior Dentistry Dr Andrew See

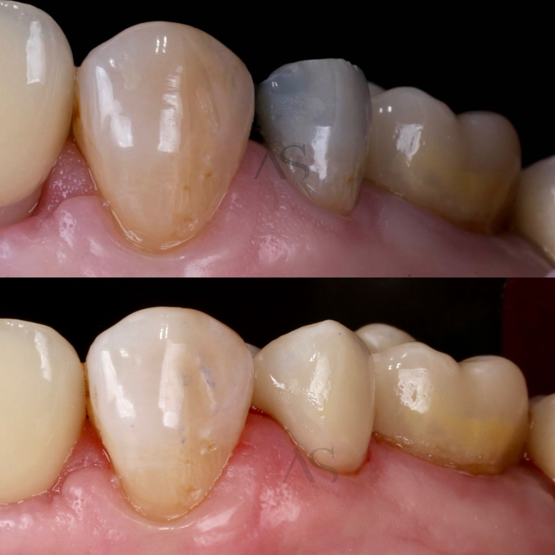
Crownlays

Crownlays combine elements of both a traditional inlay/onlays and tabletop design, covering part of the tooth structure while preserving more enamel. This option is ideal for teeth that have moderate structural loss but still retain enough sound tooth tissue to avoid the need for a full coverage crown.

Benefits:

  • More Coverage with Less Reduction: Compared to traditional full crowns, crownlays cover a larger surface area but require less tooth preparation.
  • Improved forced distribution: Lithium disilicate’s high flexural strength is able to absorb the occlusal forces rather than transmit the occlusal forces to the remaining tooth structure.
  • Aesthetics: Crownlays can be blended into the remaining tooth structure.

Ideal Cases:
Crownlays are suitable for cases where more extensive restorations are necessary but where full coverage crowns would require significant tooth reduction. They can be an extension of the tabletop design into the proximal boxes.

Crownlay Indirect Posterior Dentistry Dr Andrew See
Crownlay Indirect Posterior Dentistry Dr Andrew See
Crownlay Indirect Posterior Dentistry Dr Andrew See
Crownlay Indirect Posterior Dentistry Dr Andrew See

Veneerlays

Veneerlays combine the advantages of both veneers and inlays/onlays, covering both the facial and occlusal surfaces of the tooth. They are a highly aesthetic solution for cases where the posterior tooth has either a carious lesion or an existing restoration present on the occlusal and/or the proximal surface. 

Benefits:

  • Aesthetics: When compared to a crownlay, veneerlays extend to cover the whole buccal surface for aesthetic cases. Using a veneerlay instead of a full coverage crown, combines the thinness of veneers with the strength and durability of inlays.
  • Preservation of Tooth Structure: Veneerlays require minimal reduction for aesthetic areas when compared with the traditional alternative of a full coverage crown, making them an ideal option. This minimises the risk of pulpal complications.

Ideal Cases:
Veneerlays are ideal for teeth where both the facial and occlusal surfaces require enhancement due to aesthetic concerns or functional issues. They are particularly effective in patients with mild to moderate wear, where a full coverage crown will be too invasive. In posterior teeth, veneerlays are a natural adjunct to a case that is being treated with veneers in the anterior region.

Veneerlay Indirect Posterior Dentistry Dr Andrew See
Veneerlay Indirect Posterior Dentistry Dr Andrew See

Traditional Inlay or Onlay

Traditional inlay or onlays generally restores only the damaged tooth structure be it from caries, a crack, trauma or a preexisting restoration.

Benefits:

  • Preservation of Tooth Structure: Inlays and onlays require minimal reduction.
  • Improved forced distribution: Lithium disilicate’s high flexural strength is able to absorb the occlusal forces rather than transmit the occlusal forces to the remaining tooth structure.

Ideal Cases:
Inlays and onlays are ideal when there is no clinical requirement for cuspal protection. A thorough assessment of the remaining cusps is required along with assessment of the occlusal forces onto the tooth.

Cerec Inlay Onlay Indirect Posterior Dentistry Dr Andrew See

Optimising the Plan for Quadrant Dentistry

In quadrant dentistry, the key to success lies in creating a comprehensive treatment plan that balances aesthetic goals with functional requirements. The following strategic principles should guide your planning process:

  1. Comprehensive Assessment: Begin by evaluating the entire quadrant to understand the interrelationships between teeth. This involves considering not only the aesthetic desires of the patient but also occlusal harmony, tooth wear patterns, and potential future restorative needs.
  2. Minimally Invasive Approach: Whenever possible, prioritise preservation of tooth structure. Materials like lithium disilicate provide strength and aesthetic appeal, but the aim should be to reduce tooth reduction while still achieving the desired functional and aesthetic results.
  3. Material Selection: A high strength glass ceramic such as Lithium disilicate is the material of choice for many indirect restorations due to its high strength, aesthetic qualities, and versatility. However, consider the specific demands of each tooth when deciding whether to use a tabletop, crownlay, veneerlays, or full coverage crown.
  4. Long-Term Prognosis: Factor in the longevity of the restoration. Indirect restorations made from lithium disilicate provide outstanding long-term outcomes, but planning should account for potential changes in the patient’s bite, wear patterns, and aesthetic preferences over time.

 

Conclusion

Indirect quadrant dentistry using lithium disilicate offers an exciting opportunity to provide patients with high-quality restorations that blend seamlessly with natural tooth structure. By embracing a more conservative, bonded approach to restorations, you can achieve excellent functional and aesthetic results while preserving tooth integrity. With careful planning and strategic decision-making, you can optimize your use of this material and elevate the quality of care you provide to your patients.

For those looking to deepen their understanding and refine their preparation and bonding skills in indirect quadrant dentistry, further education is essential. Keep an eye out for upcoming courses with me where I delve into the finer details of these advanced strategies, giving you the tools to master this advantageous approach to deliver optimal results in your practice.

Are You Ready to Excel in Advanced Procedures?


Join the Community

For exclusive updates and access to Dr Andrew See.

By subscribing, you agree to receive ongoing updates

 

We help high performing Dentists expand their knowledge and clinical skills, guiding them to reach their potential in the aesthetic zone.